What's New?

(20250218) We corrected a small annotation label error in v2.0.3 in a session in the /dev set. Please use rsync to refresh your copy of the database.

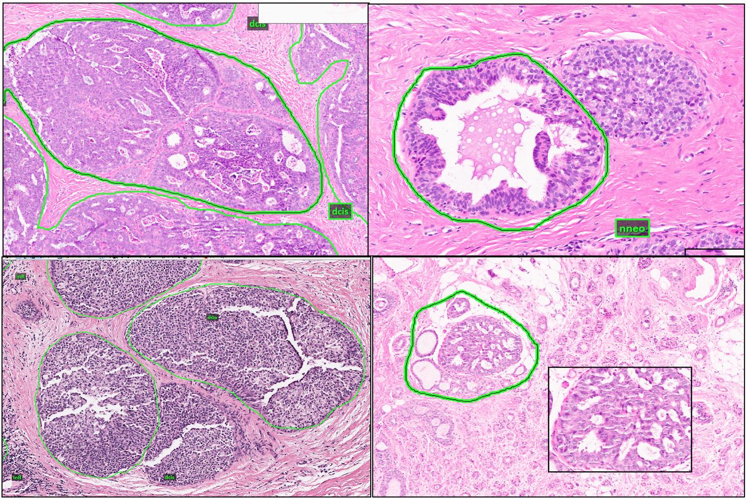
(20241231) FCBR (v3.0.0): We have released an updated version of the breast tissue subset of the FCCC Digital Pathology Corpus (FCDP). Go here to learn more.

(20241228) We have released a new version of the TUH DPATH Breast Tissue Corpus that contains 30% more annotated regions. Go here to learn more about our digital pathology resources.

NSF PFI TT Project

By specializing in real-time computer assisted monitoring of electroence-phalograms (EEGs) in the intensive care unit (ICU), we have demonstrated a clear and urgent market for such technology. The primary focus of this project is to develop efficient and marketable technology.

Read More

Recently Released Corpora

Our newest release is a large archive of high resolution digital pathology images that were collected from the Fox Chase Cancer Center. Go here to learn more. More information about the data can be found in this publication.

Read More